診療時間・診察担当医
診療時間 | 月 | 火 | 水 | 木 | 金 | 土 |
---|---|---|---|---|---|---|
午前 9:00〜12:30 |
真理子医師 受付12:00迄 |
真理子医師 受付12:00迄 |
||||
ー | 訪問診療 | ー | ||||
午後 16:00〜18:30 |
※ | ー | ー |
※注 火曜の午後は一般診療がありません。
- 診療時間:
- 午前 9:00~12:30 午後 16:00~18:30
- 休診日:
- 木曜・土曜午後、日曜・祝祭日
- 診察開始は、手術、往診等のため遅れることがあります。
- 午前診8:45~、午後診15:45~受付しております。
- 体質医学療法は予約制になります。(お電話にてお問い合わせ下さい。)
診療科目
各種検査のご案内
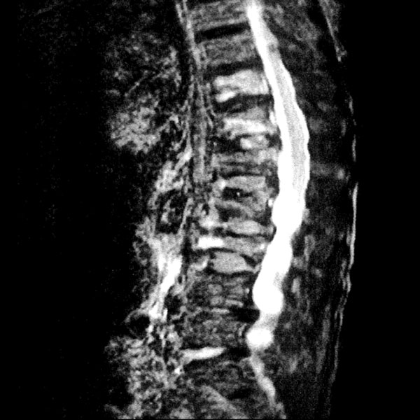
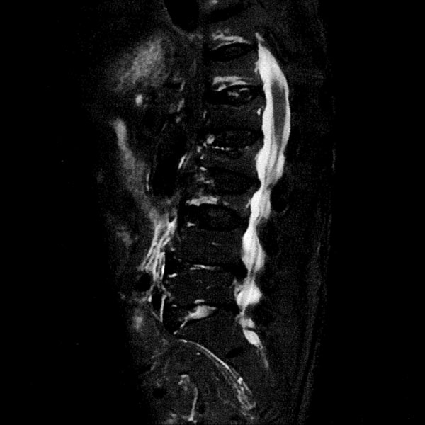
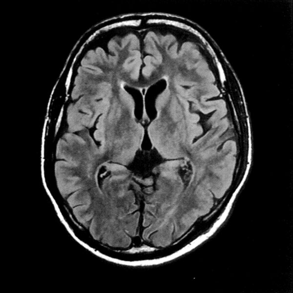
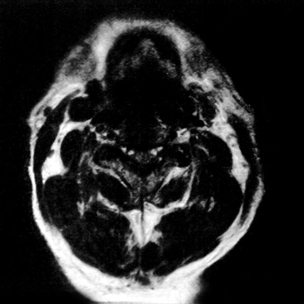
MRI検査
2025年9月16日スタート!!1.5T MRI SIGNA Creator(GE社製)

新しいMRI装置では従来の装置と比較し、高画質、かつ短時間での検査が可能となります。
狭い場所での検査が苦手な方にも優しい設計となっておりますので、検査をしたいけど悩まれている方は一度ご相談ください。
患者の皆様
- ラッパ型の開口部:閉所恐怖症の方もご相談ください
- 短時間撮像:医師に相談して10 分弱で検査することも可能です
- AI 機能を搭載:従来の装置と比べかなりの高画質が期待できます
医療関係者様
- 当日検査などもご相談ください
- 従来の装置では難しかった微細な変化の描出にも期待がもてます
- PROPEELR 機能により、動きを抑えたきれいな画像が得られます
バイコン検査(三次元動作分析)
当院では、例えば「腰」の痛みを「腰」だけの問題とせず、体全体の様々な部分からの影響によって引き起こされていないか確認するため他の部位や全身的な検査も積極的に行っています。
その代表的なものとして歩行分析があります。歩行という全身的でかつ日常的な動作を観察することで、様々な関節・部位の関連性を評価しています。院内でも簡便な歩行検査を行っていますが、必要に応じてやや大がかりな装置を用いた「バイコン」検査も行っています。
バイコン(Vicon)は世界で最も歴史のある三次元動作解析装置(英国製)で、グローバルスタンダードとして世界中で愛用されている(日本取扱いメーカーのHPより抜粋)装置の総称です。
具体的には反射マーカーと呼ばれるものを複数身体に貼付し特殊なカメラで撮影することで各マーカーの位置を正確に算出し、その情報を人体モデルに当てはめて個々の関節の動きなどを正確に解析していきます。
前述のように、主に歩行動作を検査していますが、必要に応じてその他の動作も検査・解析しています。
骨密度測定検査(DXA)
当院ではGE社製の骨密度測定装置を導入しています。
骨密度の測定には色々な方法がありますが、その中でも精度の高い、DXA(二重エネルギーX線吸収法)による測定を行っています。
検査時間は5分から10分程度、寝台にあおむけで寝て頂き測定を行います(測定部位は腰椎と股関節です)。
ポジショニングは足の固定のみで、途中、体位を変換する必要もありません。
患者様の拘束時間や負担を軽減した検査となっています。
検査結果は診察での説明とともに、レポートもお渡ししています。

